Điều trị tụt lợi hiệu quả không chỉ giúp giữ gìn hàm răng chắc khỏe mà còn ngăn ngừa những cơn đau khó chịu và tổn thương lâu dài. Nhưng bạn có biết “tụt lợi” là gì và tại sao nó lại xảy ra? Có lẽ bạn sẽ ngạc nhiên khi biết rằng thói quen hàng ngày của chúng ta có thể là nguyên nhân gây tụt lợi, làm lợi tụt dần theo thời gian. Trong bài viết này, chúng mình sẽ cùng khám phá nguyên nhân gây tụt lợi, cách ngăn ngừa tụt lợi cũng như các phương pháp chữa tụt lợi hiệu quả nhất hiện nay. Cuối cùng, mình sẽ chia sẻ về chi phí điều trị tụt lợi, bởi vì tình hình tài chính cũng không kém phần quan trọng khi chọn lựa phương pháp phù hợp. Bài viết này sẽ là hành trang quý báu giúp bạn chăm sóc răng miệng một cách
1.Nguyên Nhân Gây Tụt Lợi: Điều Gì Đang Xảy Ra Với Nướu Của Bạn?

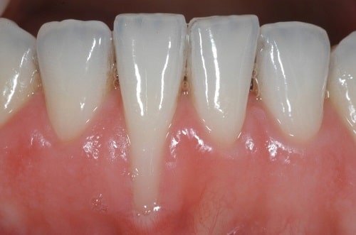
Vậy điều gì đang thực sự xảy ra với nướu của bạn khi tụt lợi? Hiểu đơn giản, tụt lợi là hiện tượng mất mô mềm bao phủ chân răng, khiến chân răng bị lộ ra. Điều đó không chỉ ảnh hưởng đến thẩm mỹ mà rất dễ dẫn đến nhiều vấn đề răng miệng khác nếu không được điều trị kịp thời. Phải chăng đó chỉ đơn giản là một dấu hiệu tuổi tác, hay còn có nguyên nhân nào khác?
1.1.Chăm sóc răng miệng kém
Khi bạn không chăm sóc răng miệng đúng cách, mảng bám sẽ tích tụ và gây viêm lợi, một trong những nguyên nhân chính gây tụt lợi. Đánh răng không đúng kỹ thuật, hay bỏ sót những khu vực khó tiếp cận cũng là một “kẻ thù” vô hình đối với nướu của bạn.
Đánh răng không đúng cách
Đánh răng quá mạnh hoặc sử dụng bàn chải cứng có thể gây tổn thương nướu. Đó giống như mọi ngày bạn đều lấy bàn chải tập tạ thay vì nhẹ nhàng mát-xa cho lợi vậy.
Sử dụng sản phẩm chăm sóc răng miệng không phù hợp
Kem đánh răng quá mạnh hoặc nước súc miệng chứa cồn có thể làm mòn men răng và nướu. Điều trị tụt lợi hiệu quả bắt đầu từ việc chọn lựa sản phẩm chăm sóc nhẹ nhàng và phù hợp.
XEM THÊM: Tụt Lợi và Phục Hồi Hiệu Quả Cho Nụ Cười Rạng Rỡ
1.2.Yếu tố di truyền và tuổi tác
Một số người sinh ra đã có xu hướng tụt lợi do yếu tố di truyền, trong khi người khác có vấn đề này khi già đi. Những yếu tố này mặc dù không thể thay đổi nhưng có thể được kiểm soát nếu chúng ta chủ động chăm sóc sức khỏe răng miệng.
Yếu tố di truyền
Nếu cha mẹ bạn từng gặp vấn đề tụt lợi, khả năng cao là bạn cũng sẽ gặp phải. Di truyền không thể thay đổi, nhưng bạn có thể chăm sóc nướu của mình tốt hơn để hạn chế tình trạng này.
Ảnh hưởng của tuổi tác
Với thời gian, nướu của chúng ta trở nên yếu hơn và dễ dàng bị tổn thương. Đây là lý do mà người lớn tuổi thường xuyên gặp vấn đề tụt lợi, nhưng bạn hoàn toàn có thể làm chậm quá trình này thông qua chăm sóc tích cực.
Sự thay đổi hormone
Thay đổi hormone ở phụ nữ trong các giai đoạn như dậy thì, mang thai, hoặc mãn kinh có thể làm nướu trở nên nhạy cảm hơn, dẫn đến nguy cơ tụt lợi cao hơn.
1.3.Thói quen không tốt khác
Bạn có thói quen cắn móng tay, hay thích nhai đá lạnh? Những thói quen tưởng như vô hại này lại ảnh hưởng nghiêm trọng đến nướu của bạn. Không chỉ khiến lợi tụt dần theo thời gian, mà còn gây tổn thương lâu dài cho răng và nướu.
Hút thuốc lá
Thuốc lá không chỉ ảnh hưởng đến sức khỏe tổng thể mà còn khiến nướu của bạn yếu hơn, dễ dẫn đến tình trạng tụt lợi. Đó như là bạn đang “chơi đáy” với sức khỏe của chính mình.
Nhai hoặc cắn những vật cứng
Thói quen nhai đá, cắn bút hay móng tay có thể khiến nướu bị tổn thương dẫn đến tụt nhanh hơn. Đôi khi, việc từ bỏ một thói quen nhỏ lại tạo ra sự khác biệt lớn.
Kết luận: Những nguyên nhân gây tụt lợi có thể ẩn chứa trong cả thói quen hàng ngày và
2.Cách Ngăn Ngừa Tụt Lợi Mà Bạn Có Thể Áp Dụng Ngay Hôm Nay
Ngăn ngừa tụt lợi có thể ví như việc xây dựng một hàng rào bảo vệ sức khỏe răng miệng của bạn. Việc này không chỉ giúp giữ gìn vẻ đẹp cho nụ cười mà còn ngăn chặn những cơn đau do tổn thương nướu. Với những biện pháp đơn giản nhưng hiệu quả mà bạn có thể bắt đầu thực hiện ngay hôm nay, tình trạng tụt lợi của bạn sẽ được cải thiện rõ rệt. Hãy cùng tìm hiểu những cách tối ưu để gìn giữ nụ cười tự tin nhé!
2.1. Vệ sinh răng miệng đúng cách
Mọi chuyện đều bắt đầu từ việc chải răng đúng cách, một điều tưởng chừng như đơn giản nhưng nhiều người vẫn vô tình bỏ qua. Để bảo vệ nướu, hãy chọn một bàn chải mềm và kỹ thuật chải răng nhẹ nhàng, không gây tổn thương nướu.
Sử dụng bàn chải mềm
Chọn bàn chải mềm sẽ đảm bảo rằng bạn không làm tổn thương nướu trong quãng đường chinh phục nụ cười đẹp. Một bàn chải quá cứng ví như một “chiếc xẻng” đào xới, gây hại hơn là bảo vệ.
Chải răng nhẹ nhàng theo chuyển động tròn
Kỹ thuật chải răng đúng đắn sẽ tạo ra sự khác biệt. Thay vì “cày” tới lui, bạn nên thực hiện theo chuyển động tròn, tình yêu nhẹ nhàng thì bền lâu phải không nào?
XEM THÊM: Điều Trị Tụt Lợi Nha Chu Hiệu Quả, Phục Hồi Tự Tin
2.2. Sử dụng sản phẩm chăm sóc răng miệng phù hợp
Các sản phẩm chăm sóc răng miệng cũng đóng vai trò quan trọng trong việc ngăn ngừa tụt lợi. Tìm kiếm sản phẩm phù hợp sẽ mang lại hiệu quả chăm sóc tối ưu, đồng thời duy trì sự khoẻ mạnh cho nướu.
Chọn kem đánh răng không chứa chất mài mòn
Kem đánh răng nhẹ nhàng như một người bạn, bảo vệ bạn khỏi những tác nhân xấu mà không gây tổn thương nướu. Tránh xa các sản phẩm chứa chất mài mòn mạnh sẽ giúp bạn duy trì nướu khoẻ.
Lựa chọn nước súc miệng không cồn
Nước súc miệng không cồn là lựa chọn tốt nhất để không làm khô nướu, bởi đôi khi sự dữ dội của cồn chỉ khiến nướu tổn thương thêm thôi.
Sợi chỉ nha khoa – “Vũ khí bí mật” cho nướu
Sử dụng chỉ nha khoa hàng ngày như việc bạn chính là hiệp sĩ bảo vệ hàm răng, giúp loại bỏ mảng bám và thức ăn ở những nơi khó với tới, tiết kiệm được chi phí điều trị tụt lợi hiệu quả.
2.3. Thay đổi thói quen xấu
Giống như tác động tiêu cực của những thói quen xấu trong cuộc sống hằng ngày, việc từ bỏ hoặc thận trọng hơn với chúng cũng là một chiến lược quan trọng để bảo vệ nướu.
Hạn chế hút thuốc
Chúng ta đều biết rằng hút thuốc không tốt cho sức khỏe, và đặc biệt, nó gây rất nhiều tổn thương cho nướu. Việc từ bỏ thuốc lá sẽ giúp bạn tiến thêm một bước trong việc bảo vệ nụ cười của mình.
Ngừng nhai đồ cứng
Khi bạn nhai đá hay cắn bút, đó giống như ném đá vào “ngôi nhà” của chính mình. Đừng để thói quen nhỏ phá hủy công sức chăm sóc nướu.
Kết luận: Ngăn ngừa tụt lợi bắt đầu từ những hành
3.Phương Pháp Chữa Tụt Lợi Hiệu Quả: Lựa Chọn Nào Phù Hợp Với Bạn?
Bạn có biết rằng, có rất nhiều phương pháp chữa trị tụt lợi hiện đại và tiên tiến đang sẵn sàng giúp bạn khôi phục sức khỏe nướu một cách hiệu quả? Từ những biện pháp không xâm lấn cho đến phẫu thuật nha chu công nghệ cao, mỗi phương pháp đều có những ưu và nhược điểm riêng. Tuy nhiên, việc lựa chọn phương pháp điều trị nào còn phụ thuộc vào tình trạng nướu của bạn, cũng như sự tư vấn của bác sĩ nha khoa chuyên khoa.
3.1. Phương pháp vệ sinh nha chu chuyên sâu
Vệ sinh nha chu chuyên sâu là bước đầu trong việc điều trị tụt lợi, giúp loại bỏ mảng bám và cao răng dưới nướu mà thông thường không thể làm sạch. Đây giống như việc bạn dọn dẹp căn phòng bị bụi bám lâu ngày, giúp nướu khôi phục môi trường lành mạnh.
Quá trình làm sạch
Gồm hai bước chính: cạo vôi và đánh bóng. Các dụng cụ chuyên biệt sẽ được sử dụng để làm sạch sâu khu vực quanh răng, giúp giảm thiểu tình trạng viêm nhiễm và tạo điều kiện cho nướu lành mạnh trở lại.
Đánh giá lợi ích
Kỹ thuật này không chỉ cải thiện tình trạng sức khỏe nướu mà còn ngăn ngừa sự phát triển của vi khuẩn gây bệnh, giúp nướu bám chặt hơn vào răng và tránh tụt lợi. Sự kiên trì trong việc vệ sinh chuyên sâu sẽ mang lại kết quả tuyệt vời.
XEM THÊM: Giải Pháp Hiệu Quả Cho Viêm Lợi Và Viêm Nha Chu
3.2. Phẫu thuật ghép mô mềm
Khi tình trạng tụt lợi trở nên nghiêm trọng, phẫu thuật ghép mô mềm có thể là lựa chọn tiếp theo. Đây được coi như một “màn phép màu” bởi nó giúp phục hồi phần mô nướu đã mất, mang lại vẻ thẩm mỹ tự nhiên và bảo vệ chân răng.
Quy trình thực hiện
Kỹ thuật này bao gồm việc lấy mô từ phần vòm miệng hoặc mô tổng hợp và ghép vào vùng lợi bị tụt. Sự tỉ mỉ và chính xác của bác sĩ sẽ đảm bảo kết quả tốt nhất.
Kết quả đạt được
Sau phẫu thuật, nướu sẽ có cảm giác êm ái và tự nhiên, làm giảm nguy cơ tổn thương thêm. Đồng thời, phẫu thuật ghép mô mềm giúp cải thiện thẩm mỹ nướu một cách đáng kể.
Những điểm cần lưu ý
Sau phẫu thuật, việc chăm sóc hậu phẫu là rất quan trọng để đảm bảo mô ghép lành hoàn toàn và ngăn ngừa hiện tượng chảy máu hoặc nhiễm trùng.
3.3. Sử dụng tia laser nha khoa
Laser nha khoa đang ngày càng được ứng dụng rộng rãi trong việc điều trị tụt lợi nhờ vào tính chính xác và ít xâm lấn. Hơn như một “chiếc đũa phép”, laser có khả năng khắc phục và hồi phục mô nướu lộ ra mà không cần phẫu thuật truyền thống.
Nguyên tắc hoạt động
Laser sẽ làm sạch túi nướu và kích thích sự tái tạo của mô mềm, góp phần vào quá trình lành thương tự nhiên của cơ thể.
Lợi thế của laser
Phương pháp này giảm thiểu sự tổn thương cho mô khỏe mạnh xung quanh, đau đớn ít hơn và thời gian phục hồi nhanh chóng. Với laser, nguy cơ nhiễm trùng được giảm đi đáng kể.
Kết luận: Việc điều trị tụt lợi không còn là nỗi lo nếu bạn lựa chọn được phương pháp phù hợp nhất với sự tư vấn từ chuyên gia nha khoa.
4.Chi Phí Điều Trị Tụt Lợi: Đầu Tư Vào Nụ Cười Khỏe Mạnh
Khi bàn về vấn đề điều trị tụt lợi, một yếu tố quan trọng cần xem xét là chi phí liên quan. Nếu không tính toán kỹ lưỡng, chi phí điều trị có thể khiến nhiều người e ngại. Nhưng bạn hãy xem đó như một khoản đầu tư dài hạn để bảo vệ sức khỏe răng miệng và gìn giữ nụ cười tự tin hơn. Hiểu rõ chi phí điều trị tụt lợi sẽ giúp bạn biết mình đang chi tiêu cho những gì và chọn lựa phương pháp điều trị phù hợp.
4.1. Yếu tố ảnh hưởng đến chi phí điều trị
Chi phí điều trị tụt lợi có thể khác nhau dựa trên nhiều yếu tố như mức độ tổn thương, phương pháp điều trị được chọn và kinh nghiệm của bác sĩ. Bạn sẽ nhận thấy rằng chi phí điều trị không chỉ là một con số cố định, mà là một hành trình khám phá và lựa chọn phương pháp tốt nhất cho chính mình.
Mức độ nghiêm trọng của tình trạng tụt lợi
Việc xác định mức độ tụt lợi là bước đầu tiên ảnh hưởng đến chi phí. Một ca đơn giản có thể chỉ cần điều trị nhẹ nhàng, nhưng nếu tình trạng nghiêm trọng hơn, bạn có thể phải đối mặt với những phương pháp phức tạp và tốn kém hơn.
Phương pháp điều trị được chọn
Tùy thuộc vào phác đồ điều trị mà chi phí có thể thay đổi. Những phương pháp không xâm lấn như vệ sinh nha chu chuyên sâu có thể ít tốn kém hơn so với phẫu thuật ghép mô hoặc sử dụng laser nha khoa.
XEM THÊM: Viêm mô mềm lợi: Nguyên nhân và cách điều trị hiệu quả nhất
4.2. Phân bổ chi phí dựa trên phương pháp điều trị
Sự lựa chọn phương pháp điều trị không chỉ ảnh hưởng đến quá trình hồi phục mà còn ảnh hưởng đáng kể đến ngân sách của bạn. Hiểu rõ từng phương pháp sẽ giúp bạn chuẩn bị tài chính một cách hiệu quả.
Vệ sinh nha chu chuyên sâu
Đây là phương pháp cơ bản và có chi phí thấp nhất so với các phương pháp khác. Nó giúp làm sạch mảng bám và giảm viêm nhiễm, nhưng không áp dụng cho trường hợp tụt lợi nặng.
Phẫu thuật ghép mô mềm
Phương pháp này đòi hỏi chi phí cao hơn vì sự phức tạp và chuyên môn cần thiết. Mặc dù vậy, đây là lựa chọn tối ưu cho những người có tình trạng tụt lợi nghiêm trọng, đảm bảo hiệu quả lâu dài.
Sử dụng laser nha khoa
Sự tiện lợi và an toàn của laser khiến chi phí điều trị cao hơn, nhưng lại mang đến hiệu quả tốt và nhanh chóng hơn, đáng để cân nhắc nếu bạn coi trọng sự tiên tiến trong điều trị.
4.3. Lựa chọn phù hợp với ngân sách của bạn
Đưa ra quyết định sẽ tiến hành điều trị gì không phải là điều dễ dàng, đặc biệt khi phải cân nhắc về khả năng tài chính. Hãy tham khảo ý kiến chuyên gia và xem xét kỹ lưỡng để đưa ra quyết định sáng suốt.
Tìm kiếm tư vấn từ bác sĩ chuyên khoa
Bác sĩ sẽ giúp bạn đánh giá tình trạng nướu và đề xuất phác đồ điều trị phù hợp với ngân sách cũng như tình trạng của bạn.
Bảo hiểm y tế và hỗ trợ tài chính
Một số chi phí điều trị có thể được bao phủ bởi bảo hiểm y tế. Hãy kiểm tra điều khoản bảo hiểm hoặc tìm kiếm các kế hoạch hỗ trợ tài chính từ các phòng khám nha khoa mà bạn đang hướng đến.
Kết luận: Đầu tư vào điều trị tụt lợi không chỉ là chi phí trước mắt mà còn là bảo vệ sức khỏe lâu dài của bạn. Hiểu rõ các yếu tố ảnh hưởng đến giá cả và chọn lựa phương pháp điều trị phù
5.Lợi Ích Không Ngờ Từ Việc Điều Trị Tụt Lợi
Điều trị tụt lợi không chỉ đơn thuần là một quy trình nha khoa, mà còn là bước then chốt để bảo tồn sức khỏe răng miệng. Bằng cách tái tạo và bảo vệ nướu, chúng ta không chỉ duy trì được vẻ đẹp thẩm mỹ của nụ cười mà còn ngăn ngừa những biến chứng tiềm tàng có thể gây hại lớn đến sức khỏe tổng thể. Việc điều trị tụt lợi có thể được ví như việc xây dựng một pháo đài vững chắc nhằm chống lại các tấn công từ vi khuẩn cùng những yếu tố gây hại khác.

5.1. Ngăn ngừa viêm nhiễm và sâu răng
Khi phần lợi được bảo vệ, vi khuẩn gây viêm nhiễm khó có cơ hội xâm nhập và gây hại, từ đó giảm nguy cơ mắc các bệnh răng miệng.
Lợi ích bảo vệ từ viêm lợi
Điều trị tụt lợi giúp khép kín khe hở, nơi vi khuẩn dễ dàng trú ẩn và phát triển, từ đó giảm thiểu các vấn đề viêm nhiễm.
Khả năng ngừa sâu răng
Khi chân răng được che chắn kỹ lưỡng, sự tấn công của axit và vi khuẩn gây sâu răng sẽ được giảm đáng kể, bảo toàn sức khỏe răng lâu dài.
XEM THÊM: Chi phí trồng răng hàm bao nhiêu hiện nay thưa nha khoa?
5.2. Cải thiện thẩm mỹ và sự tự tin
Bên cạnh việc bảo vệ sức khỏe, một hàm răng đều đẹp luôn là yếu tố quan trọng giúp bạn tự tin hơn trong cuộc sống hàng ngày.
Nâng cao tính thẩm mỹ
Điều trị tụt lợi giúp khôi phục vùng nướu, mang lại một hàm răng cân đối, hài hòa hơn với khuôn mặt.
Tự tin khi giao tiếp
Một nụ cười đẹp không chỉ phản ánh sức khỏe, mà còn giúp bạn cảm thấy tự tin, tạo ấn tượng tốt trong các mối quan hệ xã hội.
Tăng cường khả năng giao tiếp
Sự tự tin từ nụ cười cải thiện khả năng tương tác, giúp bạn mở rộng cơ hội trong công việc và cuộc sống.
5.3. Duy trì sức khỏe răng miệng dài lâu
Một phương pháp điều trị tụt lợi hiệu quả sẽ kéo dài tuổi thọ cho hàm răng của bạn, bảo vệ sức khỏe toàn diện hơn.
Khả năng duy trì răng tự nhiên
Răng tự nhiên sẽ được bảo vệ tốt nhất, giữ vững sự bền bỉ qua thời gian chỉ khi nướu và chân răng khỏe mạnh.
Phòng tránh những can thiệp nặng nề
Việc trị liệu kịp thời giảm thiểu nhu cầu can thiệp nha khoa xâm lấn, giúp bạn hạn chế được những phiền phức không đáng có.
Kết luận: Điều trị tụt lợi mang lại khả năng bảo vệ toàn diện cho nụ cười, không chỉ ngăn ngừa các rủi ro về sức khỏe mà còn cải thiện vẻ đẹp và sự tự tin. Đây là một đầu tư xứng đáng giúp bạn duy trì hàm răng khỏe mạnh và một cuộc sống chất lượng hơn.
Tụt lợi không chỉ ảnh hưởng đến thẩm mỹ mà còn đe dọa sức khỏe răng miệng và tổng thể. Việc điều trị tụt lợi hiệu quả là một bước đầu tư khôn ngoan, giúp bảo vệ nụ cười, ngăn ngừa viêm nhiễm và duy trì sức khỏe lâu dài. Những phương pháp từ vệ sinh chuyên sâu, phẫu thuật ghép mô đến sử dụng laser hiện đại đều có thể giúp bạn lấy lại niềm tin trong cuộc sống. Đừng để tụt lợi tiếp tục tổn thương răng miệng của bạn, hãy hành động ngay hôm nay để gìn giữ niềm vui từ nụ cười tự tin và rạng rỡ!
THAM KHẢO THÊM:
What happens if the adult Medicaid dental benefit goes away?
Liên hệ:
Nha khoa Sài gòn Bs Quang tại tp hồ chí minh -Google Maps
Địa chỉ : 280B Lê Trọng Tấn, Phường Tây Thạnh, Quận Tân phú, TP HCM
Điện thoại: 028 62675096,0938008866, 0939598639, 0908826321
E-mail: bs.xuanquang@yahoo.com
Website: https://nhakhoabsquang.com
