Bạn có từng tự hỏi tại sao chúng ta luôn nhắc đến “lệch khớp cắn mòn răng” như một trong những vấn đề nha khoa quan trọng? Những ngày qua, nếu bạn thấy khó chịu mỗi khi nhai, hoặc cảm thấy hàm răng không đều, thì đây có thể là lời cảnh báo quan trọng mà cơ thể đang gửi tới bạn. Không chỉ ảnh hưởng đến vẻ ngoài, lệch khớp cắn còn là nguyên nhân dẫn đến mòn răng nhanh chóng. Nhưng đừng quá lo lắng! Bài viết hôm nay sẽ giúp bạn đào sâu vào “lệch khớp cắn mòn răng”, từ việc tìm hiểu nguyên nhân, hậu quả cho đến các giải pháp khắc phục hiệu quả. Đặc biệt, mình sẽ chia sẻ cách phục hình và các biện pháp phòng ngừa, để bạn có thể giữ gìn nụ cười tươi sáng!
1.Nguyên Nhân Lệch Khớp Cắn và Mòn Răng: Bạn Có Bao Giờ Tự Hỏi?

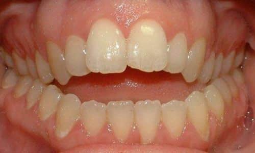
Chúng ta thường nghe nói nhiều về lệch khớp cắn và mòn răng, nhưng để hiểu rõ hơn, đây là những vấn đề không đơn thuần chỉ ảnh hưởng đến vẻ đẹp bên ngoài mà còn gây ra những rắc rối tiềm ẩn cho sức khỏe răng miệng. Lệch khớp cắn là tình trạng mà răng hàm trên và dưới không khớp nhau khi bạn nhai hoặc nói, dẫn đến áp lực không đều lên răng và nướu. Theo thời gian, áp lực này có thể gây ra mòn răng – khi bề mặt men răng dần bị mài mòn và làm tổn thương sâu hơn đến cấu trúc răng bên trong.
1.1. Yếu tố di truyền và cấu trúc hàm
Nhiều khi, lệch khớp cắn không phải là điều do chúng ta gây ra, mà có thể là một đặc điểm di truyền từ cha mẹ truyền lại. Nếu bạn để ý thấy hầu hết các thành viên trong gia đình cũng có vấn đề tương tự, đó có thể là dấu hiệu của yếu tố di truyền.
Âm vị và cấu trúc hàm
Nếu cấu trúc hàm của bạn không đều, sẽ rất khó để hai hàm nhai khớp nhau một cách chính xác. Cấu trúc hàm không cân đối có thể khiến các răng không sắp xếp theo hàng lối, tạo ra lệch khớp cắn mòn răng.
Đặc điểm di truyền
Ngoài cấu trúc hàm, nhiều đặc điểm khác cũng có thể là yếu tố di truyền như độ to nhỏ của răng, độ dày của men răng. Những yếu tố này cũng đóng một vai trò quan trọng trong việc tạo ra một khớp cắn hoàn hảo.
XEM THÊM: Cách Khắc Phục Mòn Răng Toàn Bộ Hiệu Quả Và Nhanh Chóng
1.2. Thói quen xấu trong sinh hoạt hàng ngày
Không ít lần, chính những thói quen hàng ngày lại là “thủ phạm dấu mặt” gây ra lệch khớp cắn và mòn răng. Từ việc nhai kẹo cứng đến cắn bút, tất cả đều góp phần làm tình trạng này trầm trọng hơn.
Nhai lệch, nhai mạnh
Việc liên tục nhai lệch hay nhai quá mạnh ở một bên hàm sẽ tạo ra áp lực không cân bằng, từ đó gây ra mòn răng và lệch khớp cắn.
Nghiến răng khi ngủ
Đây là thói quen mà nhiều người hay mắc phải, thậm chí không hề nhận ra. Nghiến răng kéo dài khiến phần men răng nhanh chóng bị mài mòn, dẫn đến lệch khớp cắn.
Thói quen cắm vật cứng vào miệng
Thói quen cắn bút, móng tay hay nghiến cắn các vật dụng cứng là nguyên nhân làm cho khớp cắn càng dễ bị lệch. Từ đó, việc mòn răng cũng trở nên phổ biến hơn.
1.3. Vấn đề từ nha chu và răng giả
Đôi khi, đối với một số người lớn tuổi hoặc người có tình trạng răng yếu, việc sử dụng răng giả không đúng kỹ thuật hoặc tình trạng viêm nha chu cũng là nguyên nhân làm xuất hiện lệch khớp cắn.
Răng giả không đúng kỹ thuật
Nếu không được lắp đúng cách, các răng giả có thể làm thay đổi khớp cắn của toàn bộ hàm, gây tổn thương đến phần men răng còn lại.
Viêm nha chu
Viêm nha chu là tình trạng rất dễ dẫn đến mất răng. Khi các răng chủ lực bị mất, các răng còn lại cũng sẽ bị ảnh hưởng
2.Hậu Quả Lệch Khớp Cắn và Mòn Răng: Những Điều Bạn Cần Biết
Lệch khớp cắn và mòn răng không chỉ đơn giản là những rắc rối nhỏ trong cuộc sống hàng ngày. Chúng như những viên đá nhỏ nhưng ném vào hồ, có thể tạo ra những gợn sóng lớn gây ảnh hưởng đến sức khỏe tổng thể của bạn. Khi hàm trên và hàm dưới không khớp hoàn hảo, áp lực không đồng đều này không chỉ khiến răng của bạn mài mòn nhanh chóng, mà còn ảnh hưởng tiêu cực đến cơ hàm và có thể gây ra các vấn đề nghiêm trọng về tiêu hóa.
2.1. Cảm giác đau và nhức mỏi
Mỗi khi lệch khớp cắn, khớp hàm của bạn phải làm việc nhiều hơn để nhai thức ăn, dẫn đến cảm giác đau nhức không mong muốn. Điều này giống như việc bạn cố gắng sử dụng một cỗ máy không hoàn hảo, khiến động cơ phải hoạt động gắng sức.
Cơ hàm căng thẳng
Lệch khớp cắn khiến các cơ hàm không nằm trong vị trí lý tưởng, điều này dẫn đến sự căng thẳng cơ hàm và có thể gây đau đầu hoặc đau cổ. Bạn có thể tưởng tượng rằng đó là một loại bài tập mà cơ hàm luôn phải căng mình để hoàn thành.
Tiêu hóa không hiệu quả
Khớp cắn không chính xác khiến thức ăn không được nhai kỹ càng, gây áp lực lớn lên quá trình tiêu hóa, giống như việc bạn chỉ nuốt một phần lớn mà chưa kịp bẻ nhỏ.
XEM THÊM: Phục Hồi Mòn Cổ Răng Hiện Đại: Giải Pháp An Toàn, Hiệu Quả
2.2. Hậu quả lên răng và nướu
Mòn răng không chỉ ảnh hưởng đến bề mặt mà còn có thể kéo theo nhiều vấn đề nghiêm trọng khác nếu không được xử lý kịp thời. Những vấn đề này giống như quả cầu tuyết lăn xuống núi, càng ngày càng lớn.
Mòn men răng
Khi men răng, lớp bảo vệ tự nhiên của răng bị mòn, răng trở nên nhạy cảm hơn với nhiệt độ, thức ăn chua. Có thể bạn từng cảm thấy răng ê buốt khi uống nước lạnh phải không?
Tụt nướu
Mất men răng dẫn đến việc nướu phải co lại để bảo vệ răng một cách tự nhiên hơn. Tuy nhiên, tụt nướu lại khiến răng dễ bị vi khuẩn tấn công.
Sâu răng và viêm nướu
Mòn răng tạo điều kiện thuận lợi cho sâu răng và vi khuẩn dễ dàng xâm nhập hơn, gây viêm nhiễm và sâu răng, làm tình trạng răng miệng tệ hơn.
2.3. Ảnh hưởng xã hội và tâm lý
Dù bạn có tin hay không, lệch khớp cắn và mòn răng cũng có thể ảnh hưởng đến sự tự tin của bạn trong giao tiếp hàng ngày. Khi bạn chần chừ mở miệng cười, điều này có thể làm giảm đi cái mà ta gọi là sức hút xã hội.
Mất tự tin khi giao tiếp
Khi răng không đều, nhiều người thường cảm thấy tự ti, e ngại khi cười lớn hoặc trò chuyện, điều này vô tình ảnh hưởng đến các mối quan hệ xã hội.
Tác động đến phát âm
Cấu trúc răng ảnh hưởng đến cách chúng ta phát âm, một khớp cắn lệch có thể làm ảnh hưởng đến cách chúng ta nói, khiến lời nói không rõ ràng.
Kết luận: Lệch khớp cắn và mòn răng không chỉ đơn thuần là vấn đề nha khoa, mà còn gây ra những ảnh hưởng tiêu cực đến nhiều mặt khác trong cuộc sống. Hi
3.Chữa Trị Lệch Khớp Cắn Mòn Răng: Hành Trình Khôi Phục Nụ Cười
Khôi phục nụ cười khi đã mắc phải vấn đề lệch khớp cắn và mòn răng hóa ra không phải là một hành trình khó khăn. Điều quan trọng là chúng ta cần thấu hiểu các phương pháp điều trị phù hợp và tìm ra nhịp điệu lý tưởng để đạt được sức khỏe răng miệng tối ưu. Ngày nay, với những tiến bộ trong công nghệ nha khoa, từ việc niềng răng, phục hình răng sứ cho đến cấy ghép implant, bạn hoàn toàn có thể lấy lại sự tự tin với nụ cười tươi sáng.
3.1. Niềng răng – Bước đầu điều trị lệch khớp cắn
Niềng răng được xem là phương pháp hàng đầu trong việc điều chỉnh tình trạng lệch khớp cắn, giúp việc sắp xếp lại các răng về vị trí chuẩn.
Phân loại niềng răng
Niềng răng có nhiều loại như niềng kim loại, niềng trong suốt để đáp ứng nhu cầu khác nhau và mục tiêu thẩm mỹ của từng cá nhân.
Thời gian điều trị
Quá trình niềng răng thường kéo dài từ 18 đến 24 tháng, tùy thuộc vào mức độ lệch khớp cắn và độ tuổi của bệnh nhân.
XEM THÊM: Răng Giả Không Khớp: Tìm Giải Pháp An Toàn và Hiệu Quả
3.2. Phục hình răng sứ – Giải pháp cho răng mòn
Điều trị mòn răng bằng phục hình răng sứ đem lại vẻ ngoài thẩm mỹ, đồng thời bảo vệ phần răng bị tổn thương.
Quá trình bọc răng sứ
Phần răng bị mòn sẽ được mài nhỏ và bọc lại bằng răng sứ, tương tự như đặt một lớp áo bảo vệ bên ngoài.
Loại răng sứ phù hợp
Có đa dạng lựa chọn từ răng sứ kim loại đến sứ toàn phần, mỗi loại có ưu điểm riêng, phụ thuộc vào nhu cầu và khả năng tài chính.
Lợi ích của răng sứ
Không chỉ cải thiện về mặt thẩm mỹ, răng sứ còn giúp tăng cường chức năng nhai, không khác gì răng thật.
3.3. Cấy ghép implant – Khôi phục sức khỏe răng miệng toàn diện
Cấy ghép implant là giải pháp tối ưu cho những trường hợp mất răng do mòn hoặc lệch khớp cắn gây nên.
Quy trình cấy ghép implant
Một chân răng nhân tạo được cấy vào xương hàm, sau khi tích hợp hoàn chỉnh thì phần răng sứ được lắp lên trên.
Ưu điểm vượt trội
Implant mang đến cảm giác tự nhiên, ổn định và bền vững hơn rất nhiều so với các phương pháp phục hình truyền thống.
Kết luận: Việc chữa trị lệch khớp cắn và mòn răng không chỉ giúp phục hồi chức năng nhai mà còn tạo điều kiện tốt nhất để duy trì sức khỏe răng miệng toàn diện. Các phương pháp như niềng răng, phục hình răng sứ và cấy ghép implant mang đến những lựa chọn đa dạng, phù hợp với từng tình trạng cụ thể. Hãy thực hiện các biện pháp chữa trị kịp thời để bảo vệ sự toàn vẹn cho nụ cười của bạn – yếu tố quan trọng giúp tăng thêm sự tự tin và chất lượng cuộc sống.
4.Phục Hình Răng Do Lệch Khớp Cắn: Lựa Chọn Phù Hợp Cho Bạn
Phục hình răng do lệch khớp cắn không chỉ đơn giản là việc tái thiết lập hình dáng và chức năng của răng, mà còn là quá trình mang lại sự tự tin cho nụ cười của bạn. Việc lựa chọn phương pháp phù hợp có thể ví như việc chọn một đôi giày vừa chân: vừa vặn và thoải mái là ưu tiên số một. Các phương pháp phục hình phổ biến bao gồm việc điều chỉnh hàm thông qua niềng răng, bọc răng sứ để bảo vệ và cải thiện thẩm mỹ, hoặc cấy ghép Implant cho những trường hợp mất răng. Hiểu rõ nhu cầu và tình trạng cụ thể giúp bạn dễ dàng chọn lựa phương án tối ưu nhất.
4.1. Niềng răng – Đồng hành cùng hàm răng chuẩn đẹp
Niềng răng là kỹ thuật tiên tiến giúp điều chỉnh các răng về đúng vị trí trên cung hàm, cải thiện chức năng nhai và khôi phục khớp cắn chuẩn.
Niềng răng kim loại
Loại niềng truyền thống này có độ bền cao và chi phí hợp lý nhất, phù hợp cho mọi đối tượng, đặc biệt là trẻ em và thanh thiếu niên.
Niềng răng trong suốt
Nếu bạn cần một giải pháp ít bị chú ý hơn, thì niềng răng trong suốt là lựa chọn lý tưởng, cung cấp một cách tiếp cận tinh tế mà vẫn hiệu quả.
XEM THÊM: Giải Pháp Hiệu Quả Chống Nghiến Răng Gây Hại Xương Hàm
4.2. Răng sứ – Lựa chọn cho sự hoàn thiện thẩm mỹ
Răng sứ là một trong những giải pháp tuyệt vời không chỉ bảo vệ răng mà còn đem lại nụ cười trắng sáng và tự nhiên.
Răng sứ kim loại
Đây là lựa chọn có chi phí kinh tế, với phần khung làm từ kim loại đảm bảo độ chắc chắn và phần sứ phủ ngoài mang lại thẩm mỹ.
Răng sứ toàn phần
Răng toàn sứ không chỉ mang đến nét đẹp tự nhiên, mà còn đảm bảo an toàn tuyệt đối với sức khỏe, không gây kích ứng khi sử dụng lâu dài.
Lợi ích của phục hình sứ
Không chỉ cải thiện thẩm mỹ, phục hình sứ còn giúp bảo vệ răng khỏi hư tổn do mòn men và tổn thương khác.
4.3. Implant – Giải pháp toàn diện cho răng mất
Cấy ghép Implant mang đến giải pháp khôi phục những chiếc răng bị mất một cách hoàn hảo, tự nhiên và bền vững.
Khái niệm cấy ghép Implant
Implant là những chân răng nhân tạo làm từ titanium, được đặt chắc chắn vào trong xương hàm tại vị trí mất răng, đảm bảo tính ổn định và độ bền vượt trội.
Quy trình thực hiện
Từ kiểm tra, đánh giá xương hàm đến cấy chân răng và lắp răng sứ hoàn chỉnh, mỗi bước đều được thực hiện một cách tỉ mỉ và chính xác.
Kết luận: Khi đối diện với vấn đề lệch khớp cắn và mòn răng, sự lựa chọn giải pháp phục hình phù hợp không chỉ ảnh hưởng tới sức khỏe răng miệng, mà còn tới chất lượng cuộc sống và sự tự tin trong giao tiếp. Ba phương pháp chính là niềng răng, phục hình răng sứ và cấy ghép Implant đều có những ưu nhược điểm riêng, quyết định tùy thuộc vào tình trạng cá nhân và mong muốn của bạn. Điều quan trọng là hãy xác định rõ nhu cầu và tìm đến sự tư vấn chuyên nghiệp từ các nha sĩ giàu kinh nghiệm để có quyết định sáng suốt nhất.
5.Các Biện Pháp Phòng Ngừa Mòn Răng Lệch Khớp Cắn: Bước Đi Tới Tương Lai
Bạn có nhận thấy không? Việc bảo vệ nụ cười tỏa sáng và khỏe mạnh trong tương lai không chỉ dừng lại ở việc điều trị, mà còn phụ thuộc vào các biện pháp phòng ngừa. Để tránh những phiền toái từ sự lệch khớp cắn và mòn răng, ta cần quan tâm đến các thói quen và phương pháp bảo vệ răng miệng ngay từ hôm nay. Mặc dù nghe có vẻ đơn giản, những bước đi nhỏ hàng ngày sẽ là những viên gạch vàng giúp xây dựng một nền tảng vững chắc cho tương lai không lo về răng miệng!
5.1. Thực hành vệ sinh răng miệng đúng cách
Vệ sinh răng miệng hàng ngày là chìa khóa để phòng ngừa hiệu quả sự mòn răng và lệch khớp cắn. Suy nghĩ rằng chỉ cần đánh răng đúng giờ là đủ có thể là một ngộ nhận phổ biến.
Sử dụng bàn chải lông mềm
Bàn chải lông mềm giúp làm sạch các mảng bám mà không làm tổn thương đến men răng hay nướu, giống như một bàn tay nhẹ nhàng chăm sóc cho răng bạn.
Thói quen đánh răng đúng cách
Đánh răng ít nhất hai lần mỗi ngày và sử dụng chỉ nha khoa để loại bỏ các mảnh vụn thức ăn giữa kẽ răng, đảm bảo vệ sinh toàn diện. Đây cũng như việc bảo trì cho chiếc xe yêu quý của bạn.
XEM THÊM: Chi phí nhổ răng khôn mọc lệch hiện nay khoảng bao nhiêu?
5.2. Điều chỉnh thói quen sinh hoạt
Không chỉ cần bảo vệ răng miệng khỏi tác động bên ngoài, thói quen sinh hoạt cũng đóng vai trò quyết định trong việc ngăn ngừa mòn răng và lệch khớp cắn.
Tránh đồ ăn cứng và khó nhai
Những món ăn như kẹo cao su, thức ăn cứng có thể ảnh hưởng đến men răng và gây mòn răng, giống như khi bạn cố nhai một viên đá lạnh!
Kiểm soát áp lực từ nghiến răng
Đeo bảo vệ răng nếu bạn thường xuyên nghiến răng trong khi ngủ để giảm áp lực lên răng và giữ cho chúng không bị mài mòn.
Chỉnh sửa thói quen xấu
Tránh các thói quen như cắn móng tay, bút hoặc các vật cứng, những điều này có thể làm hỏng khớp cắn của bạn.
5.3. Tầm quan trọng của kiểm tra định kỳ
Định kỳ kiểm tra răng miệng không chỉ là chế độ bảo trì thường xuyên mà còn là cơ hội để phát hiện và phòng ngừa sớm các vấn đề tiềm ẩn.
Thăm khám nha sĩ thường xuyên
Hãy gặp nha sĩ ít nhất 6 tháng một lần để vệ sinh và kiểm tra chuyên sâu, giống như việc khám định kỳ cho sức khỏe tổng thể của bạn.
Tư vấn từ chuyên gia
Các nha sĩ có thể đưa ra lời khuyên và kế hoạch điều trị phù hợp, giúp bạn duy trì hàm răng chắc khỏe lâu dài.
Kết luận: Phòng ngừa mòn răng và lệch khớp cắn không chỉ giúp bạn giữ gìn nụ cười rạng rỡ mà còn bảo vệ sức khỏe tổng thể. Hãy bắt đầu từ những thói quen hàng ngày và đừng quên ghé thăm nha sĩ để nhận sự hỗ trợ tốt nhất. Một tương lai tươi sáng và khỏe mạnh đang chờ đợi bạn với những bước đi đúng đắn ngay từ bây giờ!
Lệch khớp cắn và mòn răng không chỉ đơn thuần ảnh hưởng đến nụ cười mà còn tác động sâu sắc đến sức khỏe tổng thể của chúng ta. Qua hành trình khám phá từ nguyên nhân, hậu quả cho đến những biện pháp phục hình và phòng ngừa hiệu quả, chúng ta thấy rõ tầm quan trọng của việc bảo vệ hàm răng. Đừng chờ đến khi những “rắc rối” nhỏ bé này biến thành thách thức lớn mới tìm kiếm giải pháp. Hãy hành động ngay hôm nay, đầu tư thời gian và chú ý đến sức khỏe răng miệng, vì một nụ cười khỏe mạnh và tự tin sẽ luôn là “vũ khí” quý giá trong cuộc sống hàng ngày.
THAM KHẢO THÊM:
ADA unites coalition to support CMS chief dental officer role
Liên hệ:
Nha khoa Sài gòn Bs Quang tại tp hồ chí minh -Google Maps
Địa chỉ : 280B Lê Trọng Tấn, Phường Tây Thạnh, Quận Tân phú, TP HCM
Điện thoại: 028 62675096,0938008866, 0939598639, 0908826321
E-mail: bs.xuanquang@yahoo.com
Website: https://nhakhoabsquang.com
