Viêm nha chu và xương hàm là hai yếu tố quan trọng trong sức khỏe răng miệng mà không phải ai cũng nhận thức đầy đủ. Tình trạng viêm nha chu có thể dẫn đến hậu quả nghiêm trọng như mất răng và tiêu xương hàm. Vì vậy, việc hiểu rõ cả về nguyên nhân viêm nha chu lẫn các triệu chứng viêm nha chu sẽ giúp bạn phát hiện và xử lý kịp thời. Trong bài viết này, chúng tôi sẽ cung cấp cho bạn các thông tin hữu ích về điều trị viêm nha chu tại nhà và cách ngăn ngừa viêm nha chu dẫn đến tiêu xương hàm. Sự kết hợp giữa kiến thức chuyên môn và giải pháp thực tiễn sẽ giúp bạn bảo vệ sức khỏe răng miệng tối ưu. Cũng như cải thiện chất lượng cuộc sống hàng ngày. Đừng bỏ lỡ cơ hội để nắm bắt những kiến thức quan trọng
1.Nguyên Nhân Gây Viêm Nha Chu và Tác Động Đến Xương Hàm

Viêm nha chu được xem như một trong những vấn đề phổ biến nhất nhưng lại ít được quan tâm đầy đủ. Nó bắt đầu từ sự tích tụ của vi khuẩn và mảng bám xung quanh chân răng, và nếu không được xử lý kịp thời, có thể phát triển thành tình trạng nặng hơn, đe dọa xương hàm. Sự tác động qua lại giữa vi khuẩn, sức đề kháng của cơ thể và việc chăm sóc răng miệng không đúng cách là gốc rễ của vấn đề này. Để hiểu rõ hơn về nguồn gốc của viêm nha chu và cách nó ảnh hưởng đến xương hàm, hãy cùng phân tích dưới đây.
1.1.Mảng Bám và Vi Khuẩn
Mảng bám chứa hàng triệu vi khuẩn là nguyên nhân chính dẫn đến viêm nha chu. Khi không được loại bỏ kịp thời, chúng sẽ tích tụ ở đường viền nướu, gây viêm nhiễm.
Tích Tụ Mảng Bám
Khi thức ăn và nước bọt hòa quyện tạo thành mảng bám mềm, nếu không chải răng đúng cách, chúng sẽ tích tụ dày đặc và trở thành nơi lý tưởng cho vi khuẩn sinh sôi.
Vi Khuẩn Gây Viêm
Các loại vi khuẩn thường trú trong mảng bám sẽ tiết ra độc tố, kích thích phản ứng viêm tại các mô nướu và xâm nhập sâu hơn vào cấu trúc nha chu.
XEM THÊM: Viêm Nha Chu: Chi Tiết về Bệnh và Thành Phần Mô Quanh Răng
1.2.Phản Ứng Viêm của Cơ Thể
Khi vi khuẩn xâm nhập, cơ thể đáp trả bằng cách tạo ra phản ứng viêm để bảo vệ. Tuy nhiên, nếu phản ứng quá mạnh, mô nướu và xương hàm sẽ bị tổn thương.
Phản Ứng Miễn Dịch
Hệ miễn dịch sẽ sản xuất ra các tế bào bảo vệ để chống lại vi khuẩn, nhưng sự dư thừa của chúng lại gây hại cho các tế bào lành.
Viêm Nướu
Việc tích tụ miễn dịch không kiểm soát làm cho nướu bị sưng, đỏ và dễ chảy máu khi chải răng.
Ảnh Hưởng Đến Xương Hàm
Nếu không được khắc phục, viêm nhiễm sẽ lan rộng đến xương hàm, gây tiêu xương, dẫn đến mất răng và các biến chứng nghiêm trọng khác.
1.3.Thói Quen Vệ Sinh Răng Miệng
Sự lơ là trong việc chăm sóc răng miệng hàng ngày cũng đóng vai trò quan trọng trong sự phát triển của viêm nha chu.
Chải Răng Không Đúng Cách
Nhiều người thường bỏ qua cách chải răng chuẩn, dẫn đến việc loại bỏ mảng bám không triệt để, tạo điều kiện cho vi khuẩn phát triển.
Thói Quen Xấu
Thường xuyên tiêu thụ thực phẩm chứa nhiều đường, hút thuốc lá cũng làm gia tăng khả năng mắc viêm nha chu.
Kết luận: Viêm nha chu không chỉ là vấn đề liên quan đến sức khỏe răng miệng mà còn ảnh hưởng sâu rộng đến xương hàm. Từ nguyên nhân như mảng bám, vi khuẩn đến thói quen vệ sinh, tất cả đều có thể tác động xấu. Việc phát hiện sớm và điều trị kịp thời là rất quan trọng để ngăn ngừa những hậu quả lâu dài đối với cấu trúc nha chu và sự vững chắc của răng. Hãy chú trọng chăm sóc răng miệng hàng ngày để bảo vệ n
2.Triệu Chứng Nhận Biết Viêm Nha Chu Sớm
Viêm nha chu là một vấn đề sức khỏe răng miệng nghiêm trọng cần được chú ý từ sớm. Nhận biết triệu chứng của viêm nha chu kịp thời có thể giúp ngăn ngừa các tổn thương không thể phục hồi cho răng và xương hàm. Đặc biệt, khi chớm nhiễm, nhiều triệu chứng của viêm nha chu khá dễ nhận biết nếu như chúng ta cẩn thận quan sát và lắng nghe cơ thể mình.
2.1. Chảy Máu Khi Chải Răng
Chảy máu khi chải răng là một trong những dấu hiệu sớm nhất của viêm nha chu. Nhiều người thường bỏ qua điều này, nghĩ rằng nó không nghiêm trọng. Tuy nhiên, chảy máu chân răng có thể là tín hiệu cảnh báo quan trọng về tình trạng viêm nướu.
Nguyên Nhân Gây Chảy Máu
Chảy máu khi chải răng thường do vi khuẩn tạo ra mảng bám kích thích nướu. Điều này dẫn đến viêm và làm cho nướu dễ tổn thương, đặc biệt khi bị tác động cơ học.
Hậu Quả Của Chảy Máu
Nếu không được phát hiện và điều trị, tình trạng này còn gây ra thương tổn cho nướu và cuối cùng là xương hàm, ảnh hưởng đến sự ổn định của răng.
XEM THÊM: Giải Pháp Hiệu Quả Cho Viêm Lợi Và Viêm Nha Chu
2.2. Nướu Sưng Đỏ
Nướu bị sưng đỏ là một dấu hiệu khác của viêm nha chu. Tình trạng này phát triển do sự tồn tại và phát triển của vi khuẩn dưới nướu chân răng.
Sự Tác Động Của Mảng Bám
Khi mảng bám không được làm sạch, vi khuẩn tích tụ và gây ra một phản ứng viêm ở nướu, khiến nướu trở nên đỏ và sưng phồng.
Các Biểu Hiện Kèm Theo
Ngoài đỏ và sưng, nướu khi bị viêm cũng có thể cảm thấy mềm hoặc đau và chạm vào bị đau, đẩy mạnh hiệu quả của viêm nha chu.
Tình Trạng Tiến Triển
Nếu không kịp thời xử lý, viêm sưng có thể dẫn đến tình trạng tiêu xương hàm nghiêm trọng, gây mất răng và các vấn đề phức tạp khác.
2.3. Hơi Thở Có Mùi Khó Chịu
Hơi thở có mùi là một triệu chứng thường gặp ở người bị viêm nha chu. Nguyên nhân chủ yếu do sự tích tụ của mảng bám và vi khuẩn dưới nướu.
Lý Do Gây Ra Mùi Hôi
Khi vi khuẩn phân hủy mảng bám và thức ăn thừa bị mắc kẹt, chúng sản xuất ra các hợp chất lưu huỳnh gây mùi khó chịu.
Khả Năng Phát Hiện Sớm
Hơi thở có mùi thường ít nhận biết bởi chính người bị ảnh hưởng, nhưng có thể dễ dàng nhận ra bởi người khác, do đó cần cẩn thận theo dõi.
Kết luận: Nhận biết sớm triệu chứng viêm nha chu là chìa khóa giúp bạn bảo vệ sức khỏe răng miệng. Những dấu hiệu như chảy máu khi chải răng, nướu sưng đỏ và hơi thở có mùi, nếu được chú ý và xử lý kịp thời, có thể giúp bạn ngăn chặn viêm nha chu phát triển thành những vấn đề nghiêm trọng hơn, ảnh hưởng đến xương hàm và chất
3.Các Phương Pháp Bảo Vệ Xương Hàm Khỏi Ảnh Hưởng Của Viêm Nha Chu
Xương hàm giữ vai trò vô cùng quan trọng trong việc duy trì cấu trúc và chức năng của hàm răng. Khi đối diện với viêm nha chu, xương hàm có thể bị ảnh hưởng nghiêm trọng, dẫn đến tiêu xương và mất răng nếu không được quan tâm đúng mức. Vì vậy, bảo vệ xương hàm khỏi tác động của viêm nha chu không chỉ giúp giữ gìn sức khỏe răng miệng mà còn đóng góp đáng kể vào chất lượng cuộc sống của chúng ta. Cùng tìm hiểu những phương pháp hiệu quả để thực hiện điều này.
3.1. Cải Thiện Vệ Sinh Răng Miệng
Vệ sinh răng miệng đúng cách là phương pháp đầu tiên và đơn giản nhất để bảo vệ xương hàm khỏi viêm nha chu. Đảm bảo đánh răng ít nhất hai lần mỗi ngày và sử dụng chỉ nha khoa để loại bỏ mảng bám hiệu quả.
Chải Răng Đúng Kỹ Thuật
Sử dụng bàn chải mềm, thực hiện động tác tròn nhỏ và chải nhẹ nhàng trên mọi bề mặt răng. Điều này giúp loại bỏ mảng bám mà không gây tổn hại cho nướu.
Sử Dụng Chỉ Nha Khoa
Chỉ nha khoa giúp loại bỏ thức ăn và mảng bám giữa răng, nơi mà bàn chải không thể chạm vào. Đây là bước quan trọng để ngăn ngừa vi khuẩn tích tụ.
XEM THÊM: “Cách Viêm Nha Chu Ảnh Hưởng Đến Sức Khỏe Răng Miệng”
3.2. Chế Độ Dinh Dưỡng Cân Bằng
Chế độ dinh dưỡng hợp lý có thể giảm thiểu tác động tiêu cực của viêm nha chu đến xương hàm. Một chế độ ăn giàu vitamin và khoáng chất hỗ trợ sức khỏe nướu.
Thực Phẩm Giàu Canxi và Vitamin D
Sữa, hạnh nhân và rau xanh như cải bắp rất giàu canxi và vitamin D, cần thiết cho sự chắc khỏe của xương hàm.
Bổ Sung Vitamin C
Vitamin C trong cam, kiwi và bông cải xanh giúp tăng cường miễn dịch, giảm viêm và bảo vệ nướu răng khỏi vi khuẩn.
Tránh Thực Phẩm Có Hại
Hạn chế các thực phẩm chứa đường và chế biến sẵn, bởi chúng làm tăng nguy cơ hình thành mảng bám và viêm nhiễm.
3.3. Thăm Khám Nha Khoa Định Kỳ
Các buổi thăm khám nha khoa định kỳ giúp phát hiện sớm và kiểm soát các vấn đề liên quan đến viêm nha chu, từ đó bảo vệ xương hàm tốt hơn.
Kiểm Tra và Vệ Sinh Chuyên Sâu
Nha sĩ sẽ loại bỏ mảng bám cứng đầu mà bạn không thể tự làm sạch tại nhà, đồng thời kiểm tra sức khỏe tổng thể của răng và nướu.
Điều Trị Kịp Thời
Những can thiệp kịp thời như điều trị nha chu chuyên sâu giúp ngăn ngừa viêm nhiễm tiến triển và bảo vệ xương hàm hiệu quả.
Kết luận: Bảo vệ xương hàm khỏi ảnh hưởng của viêm nha chu yêu cầu sự chú trọng vào vệ sinh răng miệng hàng ngày, chế độ ăn uống lành mạnh và thăm khám nha khoa định kỳ. Thông qua việc áp dụng nhất quán các phương pháp trên, không chỉ ngăn ngừa tiêu xương và mất răng mà còn giúp duy trì nụ cười khỏe đẹp, bền vững dài lâu.
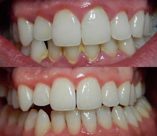
4.Cách Điều Trị Viêm Nha Chu Hiệu Quả Tại Nha Khoa
Viêm nha chu là một tình trạng bệnh lý nghiêm trọng của nướu có thể dẫn đến tổn thương nặng nề đến xương hàm nếu không được can thiệp kịp thời. Điều trị viêm nha chu hiệu quả tại nha khoa không chỉ dừng lại ở việc làm sạch bề mặt trực tiếp mà còn cần đến các phương pháp chuyên sâu để loại bỏ vi khuẩn tích tụ ở những vùng khó tiếp cận. Không những thế, duy trì quá trình điều trị còn giúp ngăn chặn sự tái phát và đảm bảo sức khỏe răng miệng dài lâu.
4.1. Làm Sạch Chuyên Sâu
Làm sạch chuyên sâu là bước đầu tiên trong điều trị viêm nha chu tại nha khoa. Phương pháp này giúp loại bỏ hoàn toàn mảng bám và cao răng, đóng vai trò quan trọng trong việc ngăn chặn vi khuẩn phát triển.
Lấy Cao Răng
Lấy cao răng giúp loại bỏ mảng bám cứng đầu và vi khuẩn tích tụ trong các khe hở và kẽ răng, giảm thiểu tối đa nguy cơ nhiễm trùng.
Đánh Bóng Răng
Đánh bóng răng làm cho bề mặt răng mịn màng, giúp ngăn ngừa sự tích tụ của mảng bám mới trên bề mặt răng.
XEM THÊM: Điều Trị Tụt Lợi Nha Chu Hiệu Quả, Phục Hồi Tự Tin
4.2. Trị Liệu Bằng Kháng Sinh
Kháng sinh có thể được sử dụng để kiểm soát ổ viêm và tiêu diệt vi khuẩn còn sót lại sau các bước làm sạch ban đầu, đặc biệt quan trọng trong trường hợp viêm nhiễm nghiêm trọng.
Kháng Sinh Dùng Tại Chỗ
Kháng sinh dùng tại chỗ, như gel hoặc cip trên nướu, nhắm trực tiếp vào các khu vực bị viêm, mang lại hiệu quả nhanh chóng và ít tác dụng phụ.
Kháng Sinh Toàn Thân
Khi viêm nhiễm lan rộng, sử dụng kháng sinh toàn thân giúp kiểm soát tình trạng viêm nhiễm sâu, bảo vệ xương hàm khỏi ảnh hưởng tiêu cực.
Kết Hợp Điều Trị
Kháng sinh có thể được kết hợp với các liệu pháp khác để tăng cường hiệu quả điều trị và ngăn ngừa tái phát.
4.3. Can Thiệp Phẫu Thuật
Khi viêm nha chu đã tiến triển nghiêm trọng, các biện pháp phẫu thuật có thể cần thiết để bảo vệ cấu trúc xương hàm và nướu.
Phẫu Thuật Mở Nướu
Phẫu thuật mở nướu có thể cần thiết để loại bỏ mảng bám và cao răng dưới nướu, giúp nướu lành mạnh và bảo vệ răng khỏi lung lay.
Ghép Xương
Khi xương hàm đã bị tiêu, ghép xương giúp khôi phục cấu trúc và hỗ trợ cho các răng mất đi độ bám chắc.
Kết luận: Điều trị viêm nha chu tại nha khoa hiệu quả không chỉ tập trung vào việc loại bỏ mảng bám mà còn kết hợp sử dụng kháng sinh và can thiệp phẫu thuật cần thiết. Mỗi bước đều đóng góp quan trọng trong việc khôi phục sức khỏe của nướu và bảo vệ xương hàm khỏi những tổn thương sâu hơn. Phát hiện sớm và tiến hành điều trị kịp thời là chìa khóa để duy trì răng miệng khỏe mạnh và ngăn ngừa biến chứng nghiêm trọng, mang lại sự tự tin và cải thiện chất lượng cuộc sống.
5.Lời Khuyên Chăm Sóc Răng Miệng Ngăn Ngừa Viêm Nha Chu
Chăm sóc răng miệng hàng ngày không chỉ giúp tạo nên nụ cười đẹp mà còn là công cụ quan trọng để ngăn ngừa viêm nha chu. Viêm nha chu, nếu không được kiểm soát, có thể dẫn đến mất răng và tác động tiêu cực đến xương hàm. Dưới đây là những lời khuyên thiết yếu giúp bạn duy trì sức khỏe nha khoa và bảo vệ răng miệng khỏi các tác động của viêm nhiễm.
5.1. Vệ Sinh Răng Miệng Đúng Cách
Vệ sinh răng miệng đúng cách là nền tảng ngăn ngừa viêm nha chu. Sự cẩn thận và chính xác trong từng động tác chải răng có thể tạo ra sự khác biệt lớn.
Chải Răng Đúng Kỹ Thuật
Để loại bỏ mảng bám hiệu quả, bạn nên chải răng ít nhất hai lần một ngày, sử dụng bàn chải mềm và đổi mới sau mỗi ba tháng để đảm bảo hiệu quả tốt nhất, chú ý chải nhẹ nhàng nhằm tránh tổn thương nướu.
Sử Dụng Chỉ Nha Khoa Và Nước Súc Miệng
Sử dụng chỉ nha khoa hàng ngày giúp loại bỏ các mảng bám giữa răng. Đồng thời, nước súc miệng kháng khuẩn cũng giúp tiêu diệt vi khuẩn còn sót lại sau khi chải răng.
XEM THÊM: Nguyên nhân viêm nướu mãn tính và giải pháp hiệu quả
5.2. Chú Trọng Chế Độ Ăn Uống
Một chế độ ăn uống hợp lý có thể rất hữu ích trong việc ngăn ngừa viêm nha chu. Điều chỉnh thực phẩm tiêu thụ hàng ngày có thể giảm nguy cơ viêm nhiễm.
Tăng Cường Thực Phẩm Giàu Chất Dinh Dưỡng
Rau xanh, trái cây tươi, hạt và các sản phẩm từ sữa cung cấp vitamin và khoáng chất cần thiết cho sự phát triển của xương và răng, giúp tăng cường hệ miễn dịch nướu.
Hạn Chế Đường Và Thực Phẩm Chế Biến Sẵn
Thực phẩm nhiều đường và đồ ăn nhanh làm tăng nguy cơ hình thành mảng bám. Thay vào đó, nên cân nhắc uống nước lọc và ăn nhẹ với các loại hạt.
Uống Đủ Nước
Nước không chỉ giúp cơ thể duy trì độ ẩm mà còn giúp loại bỏ cặn bẩn, giảm nguy cơ hình thành mảng bám và viêm nhiễm trong miệng.
5.3. Thăm Khám Nha Khoa Định Kỳ
Khám nha khoa định kỳ là chìa khóa quan trọng trong việc phát hiện sớm và xử lý kịp thời các vấn đề viêm nha chu.
Kiểm Tra Răng Miệng Toàn Diện
Khám răng định kỳ giúp phát hiện sớm các dấu hiệu của viêm nha chu, điều này giúp bạn có biện pháp điều trị kịp thời và ngăn chặn vấn đề trở nên nghiêm trọng.
Vệ Sinh Răng Chuyên Nghiệp
Nha sĩ sẽ thực hiện vệ sinh răng miệng chuyên sâu để loại bỏ mảng bám cứng đầu và đảm bảo vệ sinh toàn diện cho răng và nướu.
Kết luận: Bằng cách chú trọng chăm sóc răng miệng đúng cách, xây dựng chế độ dinh dưỡng lành mạnh và đảm bảo thăm khám nha khoa định kỳ, bạn có thể ngăn ngừa hiệu quả viêm nha chu và bảo vệ sức khỏe răng miệng dài lâu. Những th
Viêm nha chu và xương hàm là hai yếu tố quan trọng cần được quan tâm một cách nghiêm túc. Qua toàn bộ nội dung, chúng ta đã hiểu rõ nguyên nhân, triệu chứng và các phương pháp điều trị hiệu quả để bảo vệ sức khỏe răng miệng. Việc chăm sóc đúng cách, kết hợp với thăm khám nha khoa định kỳ, không chỉ giúp ngăn ngừa tiêu xương và mất răng mà còn bảo tồn nụ cười lâu dài. Đừng chờ đợi đến khi gặp vấn đề, hãy hành động ngay hôm nay để đảm bảo nụ cười luôn khỏe mạnh và rạng rỡ!
THAM KHẢO THÊM:
Join the Health Workforce: A Career With Endless Possibilities
Liên hệ:
Nha khoa Sài gòn Bs Quang tại tp hồ chí minh -Google Maps
Địa chỉ : 280B Lê Trọng Tấn, Phường Tây Thạnh, Quận Tân phú, TP HCM
Điện thoại: 028 62675096,0938008866, 0939598639, 0908826321
E-mail: bs.xuanquang@yahoo.com
Website: https://nhakhoabsquang.com
